L’Hospital del Mar incorpora la micropigmentació oncològica reconstructiva per a pacients de càncer de mama
El passat 30 de juny es va realitzar el primer cas en una pacient que [...]
Any Internacional de les Fruites i Verdures
Impulsat per la FAO (Organització de les Nacions Unides per a l’Alimentació i l’Agricultura) per [...]
La falta de vitamina D per la dieta o el poc sol augmenta el risc de càncer colorectal
Un estudi liderat per la Universitat Rovira i Virgili estableix la relació en persones de [...]
Girona en Moviment reunirà una vintena de ballarins catalans i internacionals de primer nivell per recaptar fons pels malalts de càncer
El festival benèfic, que se celebrarà del 15 al 18 de juliol, es reprèn després [...]
Els campings de Tarragona es tornen a posar la gorra d’AFANOC
Un total de 18 allotjaments turístics han comprat prop d’un miler de gorres d’AFANOC de [...]
Oncolliga Girona organitza una travessa solidària amb caiac a Llafranc
La travessa tindrà lloc el pròxim 25 de setembre amb sortida a Llafranc per anar [...]
El projecte familiar i solidari ‘Les bates blanques’ recapta 24.000 euros en dos anys per la recerca en càncer colorectal
Aquest mes de juny ha fet dos anys de la presentació del llibre ‘Les bates [...]
10 i 11 juliol: Mercat Solidari organitzat per Vilassar de Dalt contra el càncer
Després de tants mesos de pandèmia i restriccions comencen les activitats al carrer. Els dies [...]
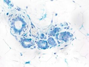
Un estudi explica com funciona la quimioteràpia en dones joves amb càncer de mama hormonosensible de baix risc
Investigadors de l’Hospital Clínic-IDIBAPS han demostrat per primera vegada que el benefici de la quimioteràpia [...]
Les dietes que promouen la inflamació poden incrementar fins a un 12% el risc de patir càncer de mama
La recerca realitzada per l’ICO i per l’IDIBELL en el marc de l’estudi europeu EPIC, [...]
ES