Sant Pau comença a administrar un nou medicament CAR-T, de producció pròpia, contra limfomes B
L’Institut de Recerca de l’Hospital de la Santa Creu i Sant Pau – IIB Sant [...]
13 de maig: Festa pels 10 anys del Grup Iris
Grup Iris celebra el pròxim 13 de maig la seva Festa 10 anys Grup Iris. [...]
Cinc de les entitats de la FECEC celebren els seus respectius aniversaris
Cinc de les nostres entitats estan de celebració aquest 2023: la Fundació Oncolliga, la Lliga [...]
Calendari dels Diàlegs FECEC 2023
Amb el webinar sobre l’ostomia que vam realitzar el passat dimecres 26 d’abril, ja són [...]
El Congrés aprova la reforma de la llei de mecenatge, amb més deduccions i noves modalitats i exempcions
Aquest dimecres s’ha aprovat al Congrés dels Diputats una reforma de la llei de mecenatge [...]
Càncer de pulmó: prova pilot per fer-ne detecció precoç en fumadors i exfumadors
Foto: Freepik. El càncer de pulmó és el que provoca més morts cada any al [...]
Conferència del Dr. Josep Tabernero dins dels actes del 25è aniversari d’Osona Contra el Càncer
Osona Contra el Càncer organitza la conferència “Reduint la distància entre el laboratori i la [...]
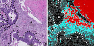
Un fàrmac redueix l’activitat de l’oncogen MYC en melanoma i canvia el perfil d’expressió gènica del tumor per un amb millor pronòstic
Investigadors del Vall d’Hebron Institut d’Oncologia (VHIO), que forma part del Campus Vall d’Hebron han [...]
Concert solidari ‘Dues Vides, homenatge Jordi Buixa’ d’Osona contra el Càncer
Dins dels actes en commemoració dels 25 anys d’Osona contra el Càncer, aquest dissabte tindrà [...]
Les diferents dificultats sociolaborals de les persones amb càncer i la importància d’un servei legal per a resoldre-les
Treballar és part fonamental de la vida, dona un propòsit, una meta, un creixement personal [...]
ES