Què i com menjar durant el càncer”. Falsos mites: làctics
Consumir entre dues i tres racions de làctics cada dia és molt beneficiós durant el [...]
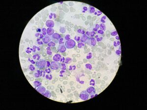
Proven amb èxit un fàrmac contra el càncer de pàncrees que ataca una proteïna del tumor
L’Hospital Vall d’Hebron de Barcelona ha desenvolupat un medicament contra el càncer que no actua [...]
FECEC en xifres: les entitats surten de l’excepcionalitat que va suposar la pandèmia
L’any 2021 hem sortit de l’excepcionalitat en les xifres que es van presentar l’any 2020, [...]
Oncolliga i Foment del Treball organitzen la jornada ‘L’empresa i el càncer de pròstata’
Foment del Treball i la Fundació Oncolliga organitzen avui la segona jornada sobre com treballar [...]
Nassos contra el Càncer: participa en la cursa solidària de San Silvestre a Girona
L'últim dia de l'any torna la campanya "Nassos contra el Càncer" a la carrera de [...]
Us desitgem un Bon Nadal i un 2023 amb molta salut!
Des de la Federació Catalana d’Entitats contra el Càncer us desitgem un Bon Nadal i [...]
Grup Iris i Espiritual Chef organitzen un taller de postres saludables online
Grup Iris organitza la clase en viu “Dulces saludables para estas fiestas”, a càrrer del [...]
La Fundació Villavecchia rep el Civil Society Prize 2022 de l’European Economic and Social Committee pel dispositiu d’acollida de 16 nens ucraïnesos amb càncer
L’European Economic and Social Committee (EESC) ha atorgat el Civil Society Prize 2022 a la [...]
Interrompre el tractament de càncer de mama per ser mare no augmenta el risc de recaiguda a curt termini
Els resultats de l’assaig clínic POSITIVE, coordinat pels grups de recerca SOLTI i GEICAM a [...]
FECEC, Junts contra el Càncer demana al Congrés que acceleri l’aprovació de la llei per a la protecció social i laboral de les persones amb càncer
La Federació Catalana d’Entitats contra el Càncer (FECEC) ha demanat al Congrés dels Diputats que [...]
ES
EN