La festa ‘Posa’t la gorra!’ d’AFANOC commemora els 10 anys d’AFANOC Lleida
AFANOC ja escalfa motors per la següent edició del “Posa’t la gorra!”. Serà el pròxim [...]
Què i com menjar durant el càncer”. Falsos mites: begudes
Durant el tractament oncològic és molt important estar ben hidratat. Per això es recomana ingerir [...]
Oncolliga homenatja el seu voluntariat en un emotiu acte a La Pedrera
Més de 50 voluntàries i voluntaris de les seus d’Oncolliga a Barcelona, Terrassa, Sabadell, Calella, [...]
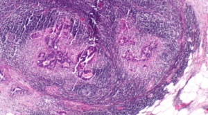
Descobreixen el mecanisme pel qual les cèl·lules tumorals es fan resistents a la quimioteràpia en càncer de còlon i recte
Un estudi liderat per l’Institut Hospital del Mar d’Investigacions Mèdiques demostra que l’oxaliplatí que s’administra [...]
Salut regula els aliments de les màquines expenedores, cafeteries i menjadors dels hospitals i centres sanitaris
El Departament de Salut promou l’aigua a través de fonts i regula els aliments i [...]
Persones voluntàries s’han format al curs ‘Voluntariat en l’àmbit oncològic’ a Barcelona
Una trentena de persones voluntàries en l’àmbit oncològic s’han format aquest febrer en el Curs [...]
La Fundació Villavecchia presenta la creació del primer ‘hospice’ pediàtric del país
Coincidint amb el Dia Internacional del Càncer Infantil, la Fundació d’Oncologia Infantil Enriqueta Villavecchia va [...]
Renovada la col·laboració amb el CoDiNuCat per l’assessorament gratuït en dietètica i nutrició a les persones amb càncer
La FECEC, Junts contra el Càncer i el Col·legi de Dietistes i Nutricionistes de Catalunya [...]
La consulta d’oncogenètica pediàtrica de Vall d’Hebron ha atès més de 150 pacients i les seves famílies des de la seva creació el 2017
Cada any es diagnostiquen a Catalunya uns 250 nous casos de càncer en nens, nenes [...]
Nou servei de la FECEC, Junts contra el Càncer per l’assessorament en matèria sociolaboral a les persones amb càncer
La Federació Catalana d’Entitats contra el Càncer (FECEC) ha signat un acord de col·laboració amb [...]
ES
EN