Fes-te la foto #menjasaimoute17 i participa al sorteig de dues càmeres Go Pro
A l’espot, els actors de la sèrie 'Merlí' de TV3, Candela Antón i Marcos Franz [...]
La Setmana Catalana de la Prevenció del Càncer promou estils de vida saludable entre els adolescents
Aquest any, a l’espot de la campanya #menjasaimoute17 de la SECAPC, hi participen els actors, [...]
La Setmana Catalana de la Prevenció del càncer inclou, el 4 d’octubre, la matinal #menjasaimoute17
Al llarg de la matinal, es realitzaran 4 tallers. Un dirigit a conèixer les recomanacions [...]
Descobreixen una nova síndrome genètica hereditària que predisposa al càncer
Científics de la Universitat Autònoma de Barcelona (UAB), de l’Hospital de Sant Pau i del [...]
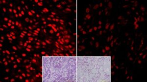
Descriuen una nova manera d’actuar de les cèl·lules davant la quimioteràpia
Un grup internacional d’investigadors, amb participació de la Universitat de Sevilla (US) i del Centre [...]
Marcos Franz i Candela Antón, actors de la sèrie ‘Merlí’, donen suport a la campanya #menjasaimoute17
Aquests dos actors són els protagonistes, enguany, del vídeo de la campanya on també hi [...]
L’EMA autoritza fàrmac d’una companyia catalana per al càncer de pàncrees
L’Agència Europea del Medicament (EMA) ha autoritzat com a medicament orfe una molècula desenvolupada per [...]
Què sabem de l’impacte dels canvis vitals positius que es donen després de passar per un càncer?
Els mitjans de comunicació informen, des de fa ja uns anys, dels importants avenços mèdics [...]
El Trueta potencia les extirpacions dels càncers digestius per via endoscòpica
L’hospital Josep Trueta de Girona aposta per extirpar càncers del sistema digestiu en fases inicials [...]
Els límits de la lluita contra el càncer
La setmana passada, la Societat Europea d’Oncologia Mèdica (ESMO) va celebrar a Madrid el seu [...]
ES
EN