El Programa de Detecció Precoç del Càncer de Còlon i Recte a l’Hospitalet de Llobregat celebra 20 anys de la seva implementació
El 14 de febrer de l’any 2000 es va posar en marxa a la ciutat [...]
Càncer infantil: com explicar i gestionar la malaltia
“Va ser totalment inesperat. La Maya tenia febre uns dies però després li marxava. Els [...]
Descobreixen mutacions clau per a la detecció precoç de diversos tipus de càncer
Ho deia l’investigador Joan Massagué fa unes setmanes: “La nostra relació emocional amb el càncer ha [...]
La FECEC recapta 4.800 euros en la VI edició de ‘Nassos contra el Càncer’
La FECEC ha aconseguit recaptar 4.800 euros en la campanya solidària ‘Nassos contra el càncer’ [...]
L’edició genètica de cèl·lules immunitàries supera el primer examen en pacients de càncer
La utilització del sistema immunitari per atacar i reduir tumors és una estratègia que ha [...]
El càncer de pròstata i el de mama, els més diagnosticats
El tumors de mama, en el cas de les dones, i els de pròstata, en [...]
L’Hospital de Bellvitge fa el primer trasplantament renal ortotòpic amb cirurgia robòtica del món
El Servei d’Urologia de l’Hospital Universitari de Bellvitge ha fet el primer trasplantament renal ortotòpic [...]
Salut estima que es diagnosticaran uns 39.000 nous casos de càncer a Catalunya el 2025
El Departament de Salut, a través del Pla director d’oncologia, estima que es diagnosticaran uns [...]
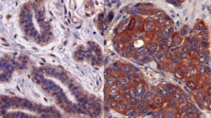
Identifiquen una proteïna determinant per a la progressió tumoral i la metàstasi d’un càncer infantil
Un grup d’investigadors de l’Institut d’Investigació Biomèdica de Bellvitge (IDIBELL) ha identificat una proteïna determinant [...]
L’Ajuntament de Girona lliura la recaptació solidària de la 15a Cursa de Sant Silvestre a la Federació Catalana d’Entitats contra el Càncer
L’alcaldessa de Girona, Marta Madrenas, i la regidora d’Esports de l’Ajuntament de Girona, Eva Palau, [...]
ES