Un equip format per científics de la Universitat de Cambridge (Regne Unit) i de la Universitat Lliure de Brussel·les (Bèlgica) ha vist per primera vegada com neix un tumor a la pell a partir de la primera “cèl·lula d’origen” i han observat el seu procés de formació.

En el seu estudi, els investigadors expliquen que la regeneració de la pell és possible gràcies a les cèl·lules progenitores procedents de les cèl·lules mare, que es divideixen i es converteixen en cèl·lules totalment funcionals. No obstant això, si aquest procés falla perquè l’ADN pateix danys o s’activen els oncogens, que són els responsables de transformar les cèl·lules normals en malignes, poden aparèixer els tumors.
Mentre que fins ara no es coneixia la causa exacta d’aquestes mutacions, aquesta investigació basada en els experiments amb ratolins de laboratori ha revelat que les cèl·lules progenitores poden causar lesions benignes, mentre que només les cèl·lules mare són les responsables de desenvolupar tumors invasius.
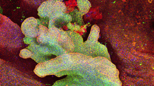
Per arribar a aquestes conclusions, els científics han utilitzat uns ratolins transgènics els gens dels quals havien estat alterats per permetre l’activació d’oncogens en les seves cèl·lules mare i progenitores, els quals posseïen un marcador fluorescent per facilitar la seva identificació. D’aquesta manera, els investigadors van poder observar per primera vegada que només les cèl·lules derivades de cèl·lules mare mutants van ser capaços de superar el mecanisme de mort programada que tenen les cèl·lules a l’hora de néixer, créixer i convertir-se en càncer de pell.
“Resulta excepcional identificar una cèl·lula de càncer d’origen i, fins al moment, ningú havia estat capaç de realitzar un seguiment a una d’aquestes cèl·lules quan muten i proliferen”, però “ara sabem que les cèl·lules mare són les culpables: quan l’oncogèn d’una cèl·lula mare s’activa, desencadena una divisió cel·lular en cadena i aquesta proliferació supera els mecanismes de seguretat de la cèl·lula “, explica Cédric Blanpain, el coautor de l’estudi.
Aquesta troballa, a més de permetre conèixer quin tipus de cèl·lula pot provocar tumors invasius, podria ajudar a aturar els tumors en la seva fase inicial “d’una manera més eficaç” i obre les portes a possibles noves teràpies “, detalla Benjamin D. Simons, de l’ laboratori Cavendish de la Universitat de Cambridge.

