El 10 de novembre se celebra el Dia Internacional contra el Càncer Neuroendocrí (TNE), amb la finalitat de donar visibilitat als pacients i als seus familiars que pateixen d’alguna mena de tumor neuroendocrí.
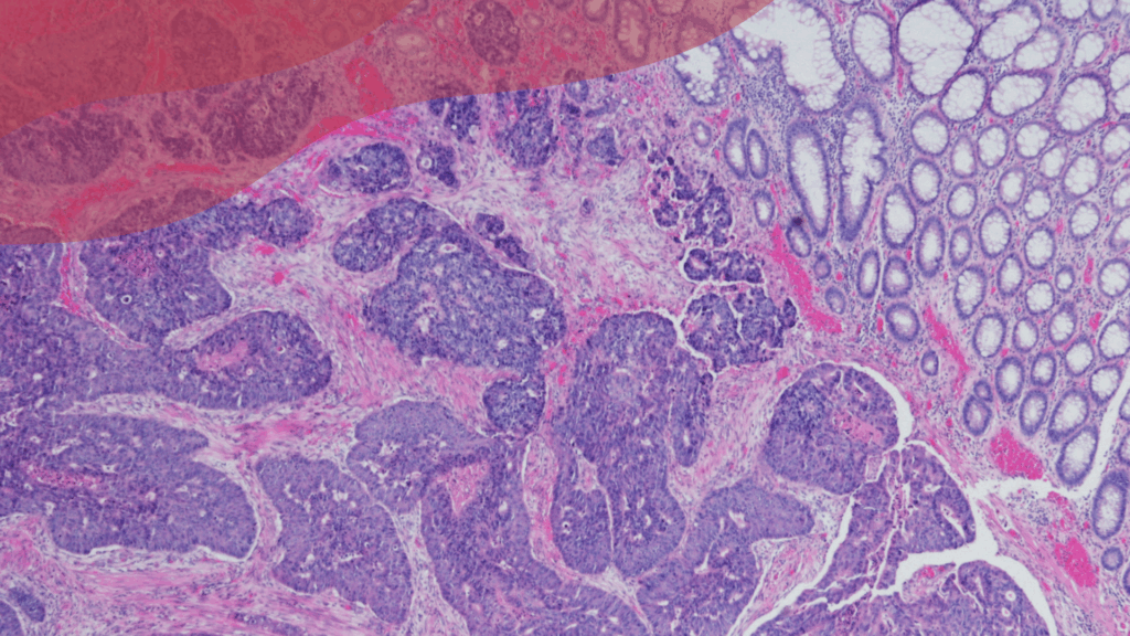
Els tumors neuroendocrins (TNE) constitueixen un grup heterogeni de neoplàsies amb una diferenciació predominantment neuroendocrina. Tot i que les localitzacions més freqüents són el pàncrees, el tracte digestiu i el pulmó, aquest tipus de càncer pot aparèixer pràcticament a qualsevol òrgan del cos, ja que aquestes cèl·lules es distribueixen durant l’etapa embrionària per tot l’organisme. Dins de la categoria de TNE, els més freqüents són els d’origen gastroenteropancreàtic (TNE-GEP), els pulmonars, tumors a la glàndula suprarenal, el carcinoma medul·lar de tiroide i el carcinoma de cèl·lules de Merkel.
Els tumors neuroendocrins són relativament poc freqüents, amb una incidència anual ajustada per edat d’aproximadament entre 7 i 10 casos per cada 100.000 habitants. S’ha observat un augment en la seva incidència durant els darrers 30 anys per diversos motius, principalment per la millora de les tècniques diagnòstiques i una millor identificació dels casos. No es coneixen amb exactitud les causes que provoquen l’aparició d’aquests tumors, i no s’ha trobat una relació clara amb la dieta o altres factors ambientals. Tot i que la seva incidència és baixa, la seva prevalença és significativa a causa de la història natural de la majoria d’aquests tumors, de creixement lent i llarga supervivència. Així, per exemple, els tumors neuroendocrins representen la segona neoplàsia avançada més prevalent del tracte digestiu després del càncer colorrectal.
Font: SEOM

